1、 雀斑首先要告诉大家一个好消息,雀斑是常染色体显性遗传病,就算被去掉了,以后也还会不同程度地复发。所以,有雀斑的孩纸快回去找你们的爸比妈咪算账啊!其次呢,雀斑往往随日晒而加重,因此在夏天或者去日晒强烈的地区(比如高原、热带)浪了一圈之后,雀斑通常会更明显。有些人的雀斑本来淡得几乎看不见,暴晒之后显出来了,就把这叫做“晒斑”,但本质还是雀斑。治疗治疗方面,以前首选强脉冲光(也就是广为人知的“光子嫩肤”),但最终效果却像用劣质橡皮去擦铅笔字一样,很费力,却总也擦不干净。近年来认为532nm的Q开关激光效果更佳,指哪打哪,颇有东方不败绣花针的神韵。此外,要是雀斑数量较多而颜色不深,同时还有痤疮、浅瘢痕、肤色暗沉等症状,果酸换肤也是很好的选择。BUT!不论什么治疗,做完以后都一定要防晒!!!墨镜帽子防晒霜,一样都不要少!!!谁让你得的是常染色体显性遗传病,就算这次全治好了,过几年还有可能再长。不过要是防晒做得好,复发的间隔时间会明显延长。如果你发现自己就算再怎么晒,雀斑也不会增多或加深,恭喜你,你老了。

2、 炎症后色素沉着顾名思义,就是在皮肤急性或慢性炎症后出现的色素沉着。炎症到底是个神马东西大家不用管,反正科学家们也没完全搞清楚,只要记得是在皮肤破损或者屏障破坏之后,黑素细胞们受到了惊吓,尿了一地的黑色素,然后这块皮肤就黑了。自然的,这类色斑也就主要出现在皮肤外伤、过敏、感染或者物理性刺激之后。哦对了,黑痘印也算炎症后色素沉着。治疗面部的炎症后色素沉着一般在炎症后数周或3~6个月后逐渐消退,所以一般建议不用治疗。但对于肤色较深的孩纸们来说,老天爷不但让你们长得比别人黑,就连色沉的持续时间都会比别人久,多幸福。对于有米的壕们,或者色沉持久不退的悲剧的孩纸们,一般可以外用氢醌、壬二酸、熊果苷等来治疗,Q开关激光、强脉冲光和果酸治疗也可奏效。但为了省钱,还是建议大家在受伤或炎症之初积极就医、采取消炎治疗,能够有效降低色沉几率,省时省力,轻松愉快O(∩_∩)O

3、 外源性色素沉着看这个名字是不是觉得灰常高大上?不过本质上就是一些外来的硬硬的东西进入了你的身体还不肯出来……等表皮长好之后,这些东西留在皮肤内,看起来就像是色斑一样。最常见的就是诸如铅笔芯或文身之类。

4、治疗这类疾病首选Q开关激光,根据外源性色素颜色的不同来选择不同的激光波长。但要是某些异物过大过深(怎么还是很奇怪……),就建议手术切除啦。
5、 黄褐斑终于到了斑中巨星黄褐斑!是她,一个病就开拓了全球百亿医美市场,撑起了微商淘宝化妆品的半壁江山,为促进我国经济繁荣、增进与日韩的睦邻友好做出了不可磨灭的贡献!那到底什么是黄褐斑呢?目前多认为,这是面部和前额等部位的黄褐色色素沉着斑,多对称分布在双侧面颊,状如蝴蝶,也有累及全面部的,状如糊饼……正因为影响因素太多,发病原因太过复杂,有些人就算千防万防,最终还是会晚节不保。所以,对于黄褐斑的预防,我们提倡“尽人事,听天命”……要是点儿背真的长了,不要怪政府不要怨社会,请出门右拐直接去正规医院看医生,千!万!不!要!给马云粑粑或者盆友圈微商做贡献。所有号称能祛除黄褐斑的护肤品,都是风险远大于收益的。就是说,也许某些人用了之后确实能减淡色斑,但另外一些人的色斑却很有可能加深。那你怎么知道你到底是不是会加深的那群人呢?科科,现在全世界都没有可靠的手段能够进行判断。而一旦黄褐斑加深了,祛斑就会变得异常困难。

6、治疗黄褐斑的常规治疗琳琅满目,从弱能量激光到低浓度果酸,再到强脉冲光、氢醌、壬二酸等,花样繁多,数不胜数。但是,大叔我在这里悄悄告诉大家一个规律:对一种疾病,凡是治疗方法越多,就越说明每种治疗方法的效果都不够好;因为要是真有疗法百试百灵,就只会优胜劣汰下这一种标准治疗了。上述的每个治疗,都有人见效,但也让很多人的色斑越来越重。目前公认效果最好也最安全的疗法只有一个:低剂量口服氨甲环酸+维生素C+维生素E+长期坚持严格防晒+尽量避免所有可能诱因。这个方法最简单最省钱效果也最确切,不仅能治疗黄褐斑,还能提亮整体肤色;但需要的时间也最长,一般是6个月到数年。很多妹纸或者大妈就是因为按捺不住寂寞,去寻求更快的解决方案,结果人财两空,遗恨春闺……

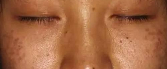
7、 太田痣和颧骨褐青色痣简单来说,它们都是本来该只存在于表皮的黑素细胞红杏出墙,向下跑到真皮去了。但太田痣出轨较早,多在1~2岁前发生,一般单侧分布在眼周或上颌,呈片状青色或蓝黑色斑;而颧部褐青色痣就规矩得多,要到15~25岁左右才按捺不住强行出轨,而且一出就不可收拾,累及两边颧骨,都是簇集分布的黑灰色斑点状色沉,比雀斑神马的萌多了。治疗对这两种斑,外用药物全都无效,而Q开关激光则效果良好。

8、归根结底,想知道自己的色斑有救没,还是要到皮肤科面诊哦~