当今社会,牙齿发黄不在是困扰我们的难题,我们可以通过各种方法进行美白处理,下面我们就一起来看看美白的方法。

外漂白法适合人群:外源性的着色,即抽烟、喝咖啡、嚼槟榔等引起的牙齿变黄变黑。
疼痛指数:几乎不疼。
缺点:对四环素牙、氟斑牙等无效,而且效果因人而异,容易反弹。
内漂白法适合人群:由于氟斑牙,四环素牙,或者神经坏死的牙齿,特别适合治疗单颗牙齿。
疼痛指数:由于要抽神经,所以是剧痛。
优点:对四环素牙、氟斑牙等,特别是单颗牙齿漂白效果很好。
缺点:要将神经全部抽走,对牙齿损伤大,并且非常疼痛。
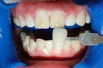
树脂贴面适合人群:比较多牙齿黑黄,但经济能力有限,无法接受烤瓷牙的患者。
疼痛指数:要将牙齿的表面磨掉,所以很疼。
优点:效果好,价格比较容易让人接受。
缺点:容易脱落。
烤瓷牙适合人群:很多牙齿黑黄,经济能力许可的患者。
疼痛指数:要将牙齿的整体磨小,当然非常酸痛。

优点:效果很好,性质稳定,比较持久,口感好。
缺点:将牙齿整体磨小,对牙齿损害不可恢复,以后也只能选择烤瓷牙。